Ultrasonido para detectar apendicitis en Hialeah – Luxury Therapy & Ultrasound Center
Cómo detectar la apendicitis con ultrasonido y por qué Luxury Therapy & Ultrasound Center en Hialeah es uno de los centros líderes en diagnóstico abdominal. Tecnología avanzada, especialistas expertos y resultados rápidos.
11/25/20253 min read


Cómo Detectar la Apendicitis con Ultrasonido: Guía Completa y Por Qué Somos uno de los Centros Líderes en Hialeah
La apendicitis es una de las urgencias abdominales más comunes, y su diagnóstico rápido puede marcar la diferencia entre un tratamiento simple y complicaciones serias. En Luxury Therapy & Ultrasound Center, ubicado en Hialeah, Florida, contamos con tecnología avanzada y especialistas en radiología capacitados para detectar esta condición de forma precisa, rápida y no invasiva mediante ultrasonido.
En este artículo te explicamos cómo se detecta la apendicitis por ultrasonido, qué esperar durante el estudio y por qué nuestro centro se ha convertido en uno de los principales referentes en este tipo de diagnóstico.
¿Qué es la apendicitis?
La apendicitis es la inflamación del apéndice, un pequeño órgano ubicado en la parte inferior derecha del abdomen. Los síntomas más comunes incluyen:
Dolor abdominal intenso (que suele comenzar alrededor del ombligo y luego se mueve hacia la parte derecha)
Náuseas y vómitos
Fiebre
Pérdida del apetito
Sensibilidad abdominal al tacto
Debido a que estos síntomas pueden confundirse con otras condiciones, el ultrasonido se vuelve una herramienta clave para confirmar o descartar el diagnóstico con rapidez.
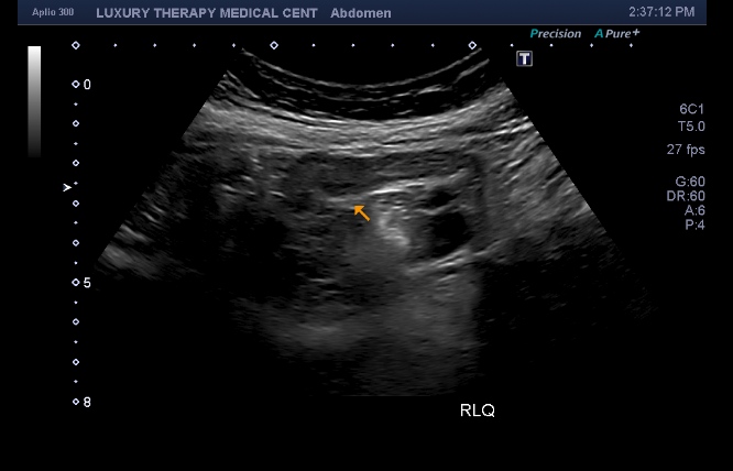
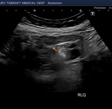
¿Cómo se detecta la apendicitis con ultrasonido?
El ultrasonido abdominal es uno de los métodos más seguros y efectivos para evaluar la sospecha de apendicitis, especialmente en niños, adolescentes y mujeres embarazadas, ya que no utiliza radiación.
Durante el ultrasonido se evalúa:
✔️ El tamaño del apéndice
Un apéndice inflamado suele medir más de 6 mm en diámetro.
✔️ Engrosamiento de las paredes
El ultrasonido permite observar si las paredes del apéndice están engrosadas o rígidas.
✔️ Señales de inflamación alrededor del apéndice
Incluye líquido libre, aumento del flujo sanguíneo o presencia de un fecalito.
✔️ Complicaciones
Puede detectar abscesos, perforaciones o colecciones de líquido en etapas avanzadas.
Ventajas del ultrasonido para este diagnóstico:
No requiere radiación
Rápido y cómodo
Ideal para pacientes jóvenes y embarazadas
Alta sensibilidad cuando es realizado por especialistas experimentados
¿Por qué nuestro centro es uno de los mejores en este estudio?
En Luxury Therapy & Ultrasound Center nos hemos ganado la confianza de médicos y pacientes gracias a tres pilares fundamentales:
⭐ 1. Especialistas altamente entrenados en diagnóstico abdominal
Nuestro personal de ultrasonido cuenta con amplia experiencia en estudios de abdomen y evaluación de apendicitis, lo que permite identificar incluso casos difíciles o atípicos.
⭐ 2. Tecnología avanzada con imágenes de alta resolución
Contamos con equipos de ultrasonido modernos que ofrecen claridad superior en estructuras abdominales, facilitando diagnósticos más rápidos y exactos.
⭐ 3. Resultados rápidos y comunicación directa con el doctor referido
Sabemos que la apendicitis es una urgencia. Por eso, entregamos los reportes de manera ágil y clara para que el médico del paciente pueda tomar decisiones de inmediato.
⭐ 4. Ubicación conveniente en Hialeah, Florida
Estamos ubicados en 1840 W 49th St Suite 517, Hialeah FL 33012, accesible para pacientes de toda el área de Miami-Dade.
¿Cuándo debes acudir a un ultrasonido por sospecha de apendicitis?
Si tú o un familiar presenta:
Dolor abdominal persistente
Dolor localizado en el lado derecho
Náuseas, vómito o fiebre
Dolor que empeora al caminar o toser
es recomendable realizar un ultrasonido abdominal urgente para descartar apendicitis.
Conclusión
El ultrasonido es una herramienta clave y altamente efectiva para detectar la apendicitis de forma rápida, segura y sin radiación. En Luxury Therapy & Ultrasound Center, combinamos tecnología avanzada con experiencia profesional para ofrecer diagnósticos confiables y atención de alta calidad.
Si necesitas realizarte un ultrasonido de abdomen o deseas referir a un paciente, estamos listos para ayudarte.
📍 Luxury Therapy & Ultrasound Center
1840 W 49th St Suite 517, Hialeah FL 33012
📞 786-663-7276
📠 305-397-2988
© 2025 Luxury Therapy & Ultrasound Center (operated by Luxury Therapy Medical Center). All rights reserved.
