Hígado Graso en Ultrasonido: Causas, Síntomas y Prevención
Descubre cómo el ultrasonido detecta el hígado graso, sus factores de riesgo, síntomas y qué medidas tomar para proteger tu salud hepática. Información confiable y fácil de entender.
10/2/20252 min read


Hígado Graso Detectado en Ultrasonido: Lo Que Debes Saber
¿Qué es el hígado graso?
El hígado graso, o esteatosis hepática, es una condición en la que se acumula grasa en las células del hígado. En sus primeras etapas, generalmente no causa síntomas, pero con el tiempo puede afectar la función hepática y aumentar el riesgo de complicaciones, como la inflamación hepática o la cirrosis.
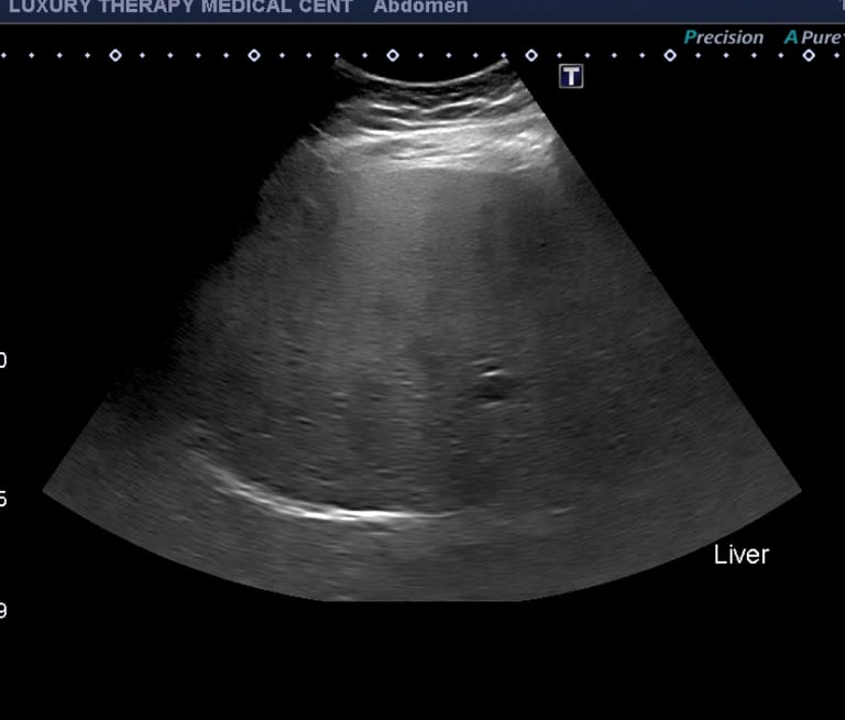
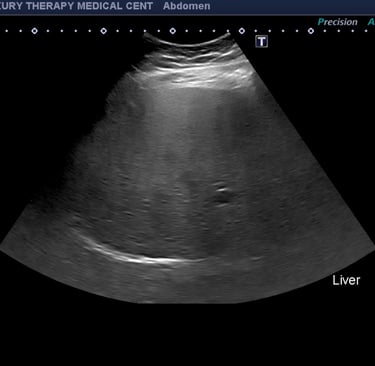
Cómo se detecta el hígado graso
El ultrasonido abdominal es una de las pruebas más comunes y efectivas para detectar el hígado graso. Este examen es:
Seguro y no invasivo
Rápido, generalmente dura entre 15 y 30 minutos
Permite evaluar el grado de acumulación de grasa en el hígado
En el ultrasonido, un hígado graso suele aparecer más brillante o hiperecoico en comparación con el tejido hepático normal.
Factores de riesgo
Algunos factores que aumentan la probabilidad de desarrollar hígado graso incluyen:
Obesidad
Diabetes tipo 2
Colesterol y triglicéridos elevados
Consumo excesivo de alcohol (en hígado graso alcohólico)
Hipertensión
Dieta alta en carbohidratos refinados y azúcares (como pan blanco, pasteles, refrescos y dulces)
Signos y síntomas
El hígado graso a menudo no presenta síntomas, pero algunas personas pueden notar:
Fatiga o cansancio constante
Molestia o dolor leve en el lado derecho del abdomen
Sensación de plenitud después de las comidas
Detectar el hígado graso a tiempo es clave, ya que los síntomas pueden tardar años en aparecer.
Importancia del diagnóstico temprano
El diagnóstico temprano mediante ultrasonido permite:
Implementar cambios en la dieta y el estilo de vida
Controlar enfermedades asociadas, como diabetes y colesterol alto
Prevenir complicaciones graves, incluyendo daño hepático irreversible
Qué hacer si tu ultrasonido muestra hígado graso
Si tu médico detecta hígado graso en el ultrasonido, es recomendable:
Consultar con un especialista para evaluar la gravedad y posibles causas
Adoptar hábitos saludables: dieta equilibrada, reducir azúcares y carbohidratos refinados, y realizar actividad física regularmente
Controlar el peso y hacer seguimiento con ultrasonido según indicaciones médicas
Evitar alcohol y sustancias que afecten el hígado
Conclusión
El hígado graso es una condición común y, a menudo, silenciosa, pero puede detectarse de manera temprana mediante ultrasonido. Con orientación médica y cambios en el estilo de vida, es posible prevenir su progresión, proteger la salud del hígado y mejorar la calidad de vida.
© 2025 Luxury Therapy & Ultrasound Center (operated by Luxury Therapy Medical Center). All rights reserved.
